Skip to main content

Python library for Digital Pathology Image Processing

Project description

Coverage Status Build Status Documentation Status Total alerts Language grade: Python Code style: black PyPI GitHub PyPI - Python Version PyPI - Wheel

histolab

Table of Contents

Motivation

The histo-pathological analysis of tissue sections is the gold standard to assess the presence of many complex diseases, such as tumors, and understand their nature. In daily practice, pathologists usually perform microscopy examination of tissue slides considering a limited number of regions and the clinical evaulation relies on several factors such as nuclei morphology, cell distribution, and color (staining): this process is time consuming, could lead to information loss, and suffers from inter-observer variability.

The advent of digital pathology is changing the way patholgists work and collaborate, and has opened the way to a new era in computational pathology. In particular, histopathology is expected to be at the center of the AI revolution in medicine [1], prevision supported by the increasing success of deep learning applications to digital pathology.

Whole Slide Images (WSIs), namely the translation of tissue slides from glass to digital format, are a great source of information from both a medical and a computational point of view. WSIs can be coloured with different staining techniques (e.g. H&E or IHC), and are usually very large in size (up to several GB per slide). Because of WSIs typical pyramidal structure, images can be retrieved at different magnification factors, providing a further layer of information beyond color.

However, processing WSIs is far from being trivial. First of all, WSIs can be stored in different proprietary formats, according to the scanner used to digitalize the slides, and a standard protocol is still missing. WSIs can also present artifacts, such as shadows, mold, or annotations (pen marks) that are not useful. Moreover, giving their dimensions, it is not possible to process a WSI all at once, or, for example, to feed a neural network: it is necessary to crop smaller regions of tissues (tiles), which in turns require a tissue detection step.

The aim of this project is to provide a tool for WSI processing in a reproducible environment to support clinical and scientific research. Histolab is designed to handle WSIs, automatically detect the tissue, and retrieve informative tiles, and it can thus be integrated in a deep learning pipeline.

Getting Started

Prerequisites

Histolab has only one sistem-wide dependency: OpenSlide.

You can download and install it from OpenSlide according to your operating system.

Installation

pip install histolab

Documentation

Read the full documentation here https://histolab.readthedocs.io/en/latest/.

Quickstart

from histolab.data import breast_tissue, heart_tissue

NB To use the data module, you need to install pooch.

Each data function outputs the corresponding slide as an OpenSlide object, and the path where the slide has been saved:

breast_svs, breast_path = breast_tissue()
heart_svs, heart_path = heart_tissue()

Slide

from histolab.slide import Slide

Convert the slide into a Slide object. Slide takes as input the path where the slide is stored and the processed_path where the thumbnail and the tiles will be saved.

breast_slide = Slide(breast_path, processed_path='processed')
heart_slide = Slide(heart_path, processed_path='processed')

As a Slide object, you can now easily retrieve information about the slide, such as the slide name, the dimensions at native magnification, the dimensions at a specified level, save and show the slide thumbnail, or get a scaled version of the slide.

print(f"Slide name: {breast_slide.name}")
print(f"Dimensions at level 0: {breast_slide.dimensions}")
print(f"Dimensions at level 1: {breast_slide.level_dimensions(level=1)}")
print(f"Dimensions at level 2: {breast_slide.level_dimensions(level=2)}")
Slide name: 9c960533-2e58-4e54-97b2-8454dfb4b8c8
Dimensions at level 0: (96972, 30681)
Dimensions at level 1: (24243, 7670)
Dimensions at level 2: (6060, 1917)
print(f"Slide name: {heart_slide.name}")
print(f"Dimensions at level 0: {heart_slide.dimensions}")
print(f"Dimensions at level 1: {heart_slide.level_dimensions(level=1)}")
print(f"Dimensions at level 2: {heart_slide.level_dimensions(level=2)}")
Slide name: JP2K-33003-2
Dimensions at level 0: (32671, 47076)
Dimensions at level 1: (8167, 11769)
Dimensions at level 2: (2041, 2942)
breast_slide.save_thumbnail()
print(f"Thumbnails saved at: {breast_slide.thumbnail_path}") 
heart_slide.save_thumbnail()

print(f"Thumbnails saved at: {heart_slide.thumbnail_path}") 
Thumbnails saved at: processed/thumbnails/9c960533-2e58-4e54-97b2-8454dfb4b8c8.png
Thumbnails saved at: processed/thumbnails/JP2K-33003-2.png
breast_slide.show() 
heart_slide.show()

thumbnails

Tiles extraction

Now that your Slide object is defined, you can automatically extract the tiles. A RandomTiler object crops random tiles from the slide. You need to specify the size you want your tiles, the number of tiles to crop, and the level of magnification. If check_tissue is True, the exracted tiles are taken by default from the biggest tissue region detected in the slide, and the tiles are saved only if they have at least 80% of tissue inside.

from histolab.tiler import RandomTiler

random_tiles_extractor = RandomTiler(
    tile_size=(512, 512),
    n_tiles=6,
    level=2,
    seed=42,
    check_tissue=True,
    prefix="processed/breast_slide/",
)

random_tiles_extractor.extract(breast_slide)
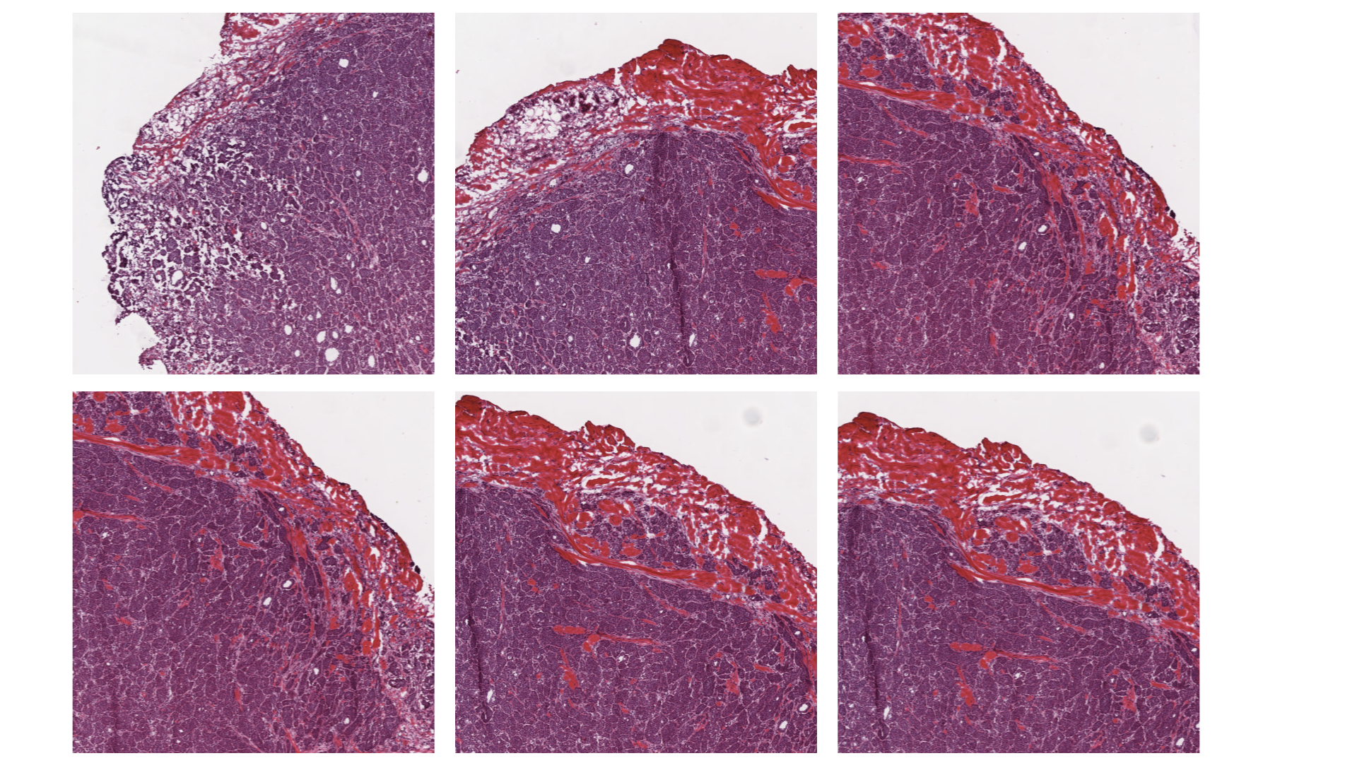
	 Tile 0 saved: processed/breast_slide/tile_0_level2_70536-7186-78729-15380.png
	 Tile 1 saved: processed/breast_slide/tile_1_level2_74393-3441-82586-11635.png
	 Tile 2 saved: processed/breast_slide/tile_2_level2_82218-6225-90411-14420.png
	 Tile 3 saved: processed/breast_slide/tile_3_level2_84026-8146-92219-16340.png
	 Tile 4 saved: processed/breast_slide/tile_4_level2_78969-3953-87162-12147.png
	 Tile 5 saved: processed/breast_slide/tile_5_level2_78649-3569-86842-11763.png
	 Tile 6 saved: processed/breast_slide/tile_6_level2_81994-6753-90187-14948.png
6 Random Tiles have been saved.

breast 001

random_tiles_extractor = RandomTiler(
    tile_size=(512, 512),
    n_tiles=6,
    level=0,
    seed=42,
    check_tissue=True,
    prefix="processed/heart_slide/",
)
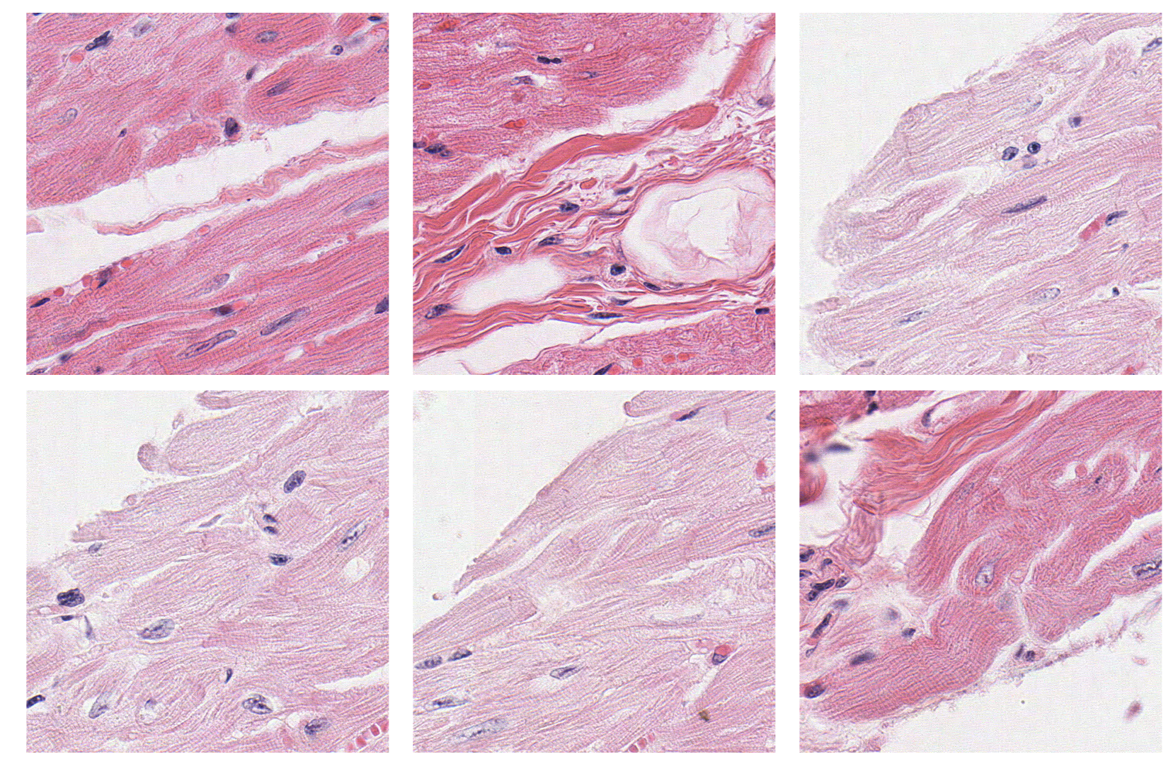
random_tiles_extractor.extract(heart_slide)
	 Tile 0 saved: processed/heart_slide/tile_0_level0_4299-35755-4811-36267.png
	 Tile 1 saved: processed/heart_slide/tile_1_level0_7051-39146-7563-39658.png
	 Tile 2 saved: processed/heart_slide/tile_2_level0_10920-26934-11432-27446.png
	 Tile 3 saved: processed/heart_slide/tile_3_level0_7151-30986-7663-31498.png
	 Tile 4 saved: processed/heart_slide/tile_4_level0_11472-26400-11984-26912.png
	 Tile 5 saved: processed/heart_slide/tile_5_level0_13489-42680-14001-43192.png
	 Tile 6 saved: processed/heart_slide/tile_6_level0_13281-33895-13793-34407.png
6 Random Tiles have been saved.

heart

Versioning

We use PEP 440 for versioning.

Authors

License

This project is licensed under Apache License Version 2.0 - see the LICENSE.txt file for details

Roadmap

Open issues

Acknowledgements

References

[1] Colling, Richard, et al. "Artificial intelligence in digital pathology: A roadmap to routine use in clinical practice." The Journal of pathology 249.2 (2019)

Contribution guidelines

If you want to contribute to Histolab, be sure to review the contribution guidelines

Project details


Download files

Download the file for your platform. If you're not sure which to choose, learn more about installing packages.

Source Distribution

histolab-0.0.5b0.tar.gz (28.3 MB view details)

Uploaded Source

Built Distribution

If you're not sure about the file name format, learn more about wheel file names.

histolab-0.0.5b0-py3-none-any.whl (1.8 MB view details)

Uploaded Python 3

File details

Details for the file histolab-0.0.5b0.tar.gz.

File metadata

  • Download URL: histolab-0.0.5b0.tar.gz
  • Upload date:
  • Size: 28.3 MB
  • Tags: Source
  • Uploaded using Trusted Publishing? No
  • Uploaded via: twine/3.1.1 pkginfo/1.5.0.1 requests/2.23.0 setuptools/46.1.3 requests-toolbelt/0.9.1 tqdm/4.46.1 CPython/3.7.6

File hashes

Hashes for histolab-0.0.5b0.tar.gz
Algorithm Hash digest
SHA256 803ca3181e430a432406f0a7b838a46db59c6eb266e2951b30160a1435d2664c
MD5 8617002454854eaa33a062a32f360198
BLAKE2b-256 b1ec10e9f3217690e220b03ca8c219967e96751b4778ed58e9f8e856f1477edd

See more details on using hashes here.

File details

Details for the file histolab-0.0.5b0-py3-none-any.whl.

File metadata

  • Download URL: histolab-0.0.5b0-py3-none-any.whl
  • Upload date:
  • Size: 1.8 MB
  • Tags: Python 3
  • Uploaded using Trusted Publishing? No
  • Uploaded via: twine/3.1.1 pkginfo/1.5.0.1 requests/2.23.0 setuptools/46.1.3 requests-toolbelt/0.9.1 tqdm/4.46.1 CPython/3.7.6

File hashes

Hashes for histolab-0.0.5b0-py3-none-any.whl
Algorithm Hash digest
SHA256 da852f8d07ccce928bde2a979c5e1d2e9dae17c06194371364974509b9a73e44
MD5 8417258eac45b677cd66ba937f988261
BLAKE2b-256 e34c651f7203d672634310e1e4aca73727ad8846483da8290f891f68497bab60

See more details on using hashes here.

Supported by

AWS Cloud computing and Security Sponsor Datadog Monitoring Depot Continuous Integration Fastly CDN Google Download Analytics Pingdom Monitoring Sentry Error logging StatusPage Status page