Skip to main content

Installable histocartography package.

Project description

Build Status codecov PyPI version GitHub Downloads

Documentation | Paper

Welcome to the histocartography repository! histocartography is a python-based library designed to facilitate the development of graph-based computational pathology pipelines. The library includes plug-and-play modules to perform,

  • standard histology image pre-processing (e.g., stain normalization, nuclei detection, tissue detection)
  • entity-graph representation building (e.g. cell graph, tissue graph, hierarchical graph)
  • modeling Graph Neural Networks (e.g. GIN, PNA)
  • feature attribution based graph interpretability techniques (e.g. GraphGradCAM, GraphGradCAM++, GNNExplainer)
  • visualization tools

All the functionalities are grouped under a user-friendly API.

If you encounter any issue or have questions regarding the library, feel free to open a GitHub issue. We'll do our best to address it.

Installation

PyPI installer (recommended)

pip install histocartography

Development setup

  • Clone the repo:
git clone https://github.com/histocartography/histocartography.git && cd histocartography
  • Create a conda environment:
conda env create -f environment.yml
  • Activate it:
conda activate histocartography
  • Add histocartography to your python path:
export PYTHONPATH="<PATH>/histocartography:$PYTHONPATH"

Tests

To ensure proper installation, run unit tests as:

python -m unittest discover -s test -p "test_*" -v

Running tests on cpu can take up to 20mn.

Using histocartography

The histocartography library provides a set of helpers grouped in different modules, namely preprocessing, ml, visualization and interpretability.

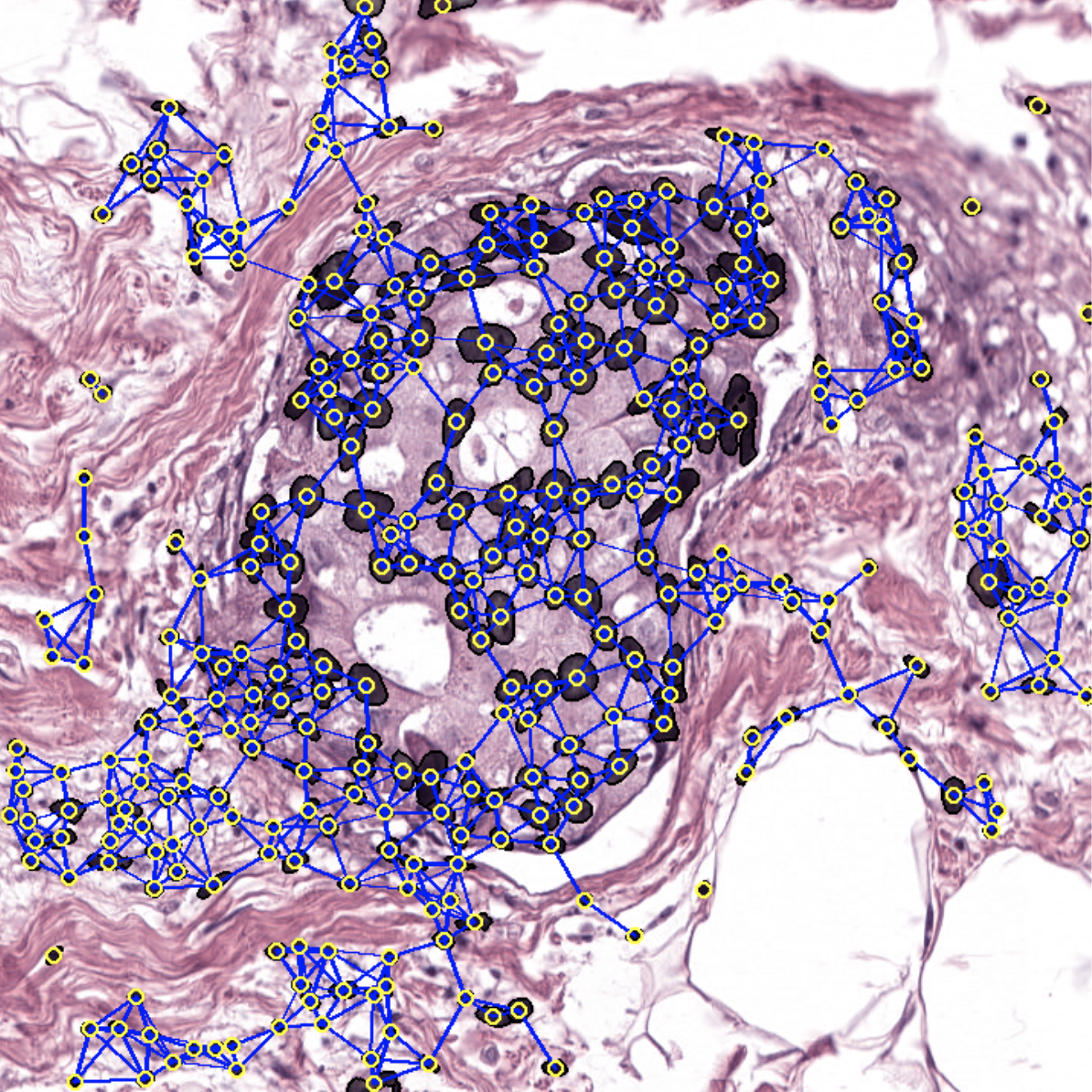
For instance, in histocartography.preprocessing, building a cell-graph from an H&E image is as simple as:

>> from histocartography.preprocessing import NucleiExtractor, DeepFeatureExtractor, KNNGraphBuilder
>> 
>> nuclei_detector = NucleiExtractor()
>> feature_extractor = DeepFeatureExtractor(architecture='resnet34', patch_size=72)
>> knn_graph_builder = KNNGraphBuilder(k=5, thresh=50, add_loc_feats=True)
>>
>> image = np.array(Image.open('docs/_static/283_dcis_4.png'))
>> nuclei_map, _ = nuclei_detector.process(image)
>> features = feature_extractor.process(image, nuclei_map)
>> cell_graph = knn_graph_builder.process(nuclei_map, features)

The output can be then visualized with:

>> from histocartography.visualization import OverlayGraphVisualization, InstanceImageVisualization

>> visualizer = OverlayGraphVisualization(
...     instance_visualizer=InstanceImageVisualization(
...         instance_style="filled+outline"
...     )
... )
>> viz_cg = visualizer.process(
...     canvas=image,
...     graph=cell_graph,
...     instance_map=nuclei_map
... )
>> viz_cg.show()

A list of examples to discover the capabilities of the histocartography library is provided in examples. The examples will show you how to perform:

  • stain normalization with Vahadane or Macenko algorithm
  • cell graph generation to transform an H&E image into a graph-based representation where nodes encode nuclei and edges nuclei-nuclei interactions. It includes: nuclei detection based on HoverNet pretrained on PanNuke dataset, deep feature extraction and kNN graph building.
  • tissue graph generation to transform an H&E image into a graph-based representation where nodes encode tissue regions and edges tissue-to-tissue interactions. It includes: tissue detection based on superpixels, deep feature extraction and RAG graph building.
  • feature cube extraction to extract deep representations of individual patches depicting the image
  • cell graph explainer to generate an explanation to highlight salient nodes. It includes inference on a pretrained CG-GNN model followed by GraphGradCAM explainer.

A tutorial with detailed descriptions and visualizations of some of the main functionalities is provided here as a notebook.

External Ressources

Learn more about GNNs

  • We have prepared a gentle introduction to Graph Neural Networks. In this tutorial, you can find slides, notebooks and a set of reference papers.
  • For those of you interested in exploring Graph Neural Networks in depth, please refer to this content or this one.

Papers already using this library

  • Hierarchical Graph Representations for Digital Pathology, Pati et al., preprint, 2021. [pdf] [code]
  • Quantifying Explainers of Graph Neural Networks in Computational Pathology, Jaume et al., CVPR, 2021. [pdf] [code]
  • Learning Whole-Slide Segmentation from Inexact and Incomplete Labels using Tissue Graphs, Anklin et al., preprint, 2021. [pdf] [code]

If you use this library, please consider citing:

@inproceedings{jaume2021,
    title = {HistoCartography: A Toolkit for Graph Analytics in Digital Pathology},
    author = {Guillaume Jaume, Pushpak Pati, Valentin Anklin, Antonio Foncubierta, Maria Gabrani},
    booktitle = {https://arxiv.org/pdf/2107.10073},
    year = {2021}
} 

@inproceedings{pati2021,
    title = {Hierarchical Graph Representations for Digital Pathology},
    author = {Pushpak Pati, Guillaume Jaume, Antonio Foncubierta, Florinda Feroce, Anna Maria Anniciello, Giosuè Scognamiglio, Nadia Brancati, Maryse Fiche, Estelle Dubruc, Daniel Riccio, Maurizio Di Bonito, Giuseppe De Pietro, Gerardo Botti, Jean-Philippe Thiran, Maria Frucci, Orcun Goksel, Maria Gabrani},
    booktitle = {Medical Image Analysis (MEDIA)},
    year = {2021}
} 

Project details


Download files

Download the file for your platform. If you're not sure which to choose, learn more about installing packages.

Source Distribution

histocartography-0.2.1.tar.gz (80.9 kB view details)

Uploaded Source

File details

Details for the file histocartography-0.2.1.tar.gz.

File metadata

  • Download URL: histocartography-0.2.1.tar.gz
  • Upload date:
  • Size: 80.9 kB
  • Tags: Source
  • Uploaded using Trusted Publishing? No
  • Uploaded via: twine/3.4.1 importlib_metadata/3.10.1 pkginfo/1.7.0 requests/2.25.1 requests-toolbelt/0.9.1 tqdm/4.56.2 CPython/3.7.0

File hashes

Hashes for histocartography-0.2.1.tar.gz
Algorithm Hash digest
SHA256 4776648945bfaa0bde1a82d897dec98c6822219b57e55e636632ceedc0b9db38
MD5 97510f75623c2befc2ca6ec93f33b081
BLAKE2b-256 fc016ce3c1174e8bc5e13b7ce7217d371e7872241cbff08b09239e761cbe1257

See more details on using hashes here.

Supported by

AWS Cloud computing and Security Sponsor Datadog Monitoring Depot Continuous Integration Fastly CDN Google Download Analytics Pingdom Monitoring Sentry Error logging StatusPage Status page